
Новый медицинский центр в Краснодаре, Коммунаров 278 Г
МедЭксперт - это медицинский центр в Краснодаре, в котором установлено высокотехнологичное оборудование - магнитно-резонансные томографы Siemens 1.5 Тл (2018г и 2023г), мультиспиральный компьютерный томограф Philips iCT 256 срезов (2022г), позволяющие получить максимально информативные снимки при минимальной лучевой нагрузке на пациента.
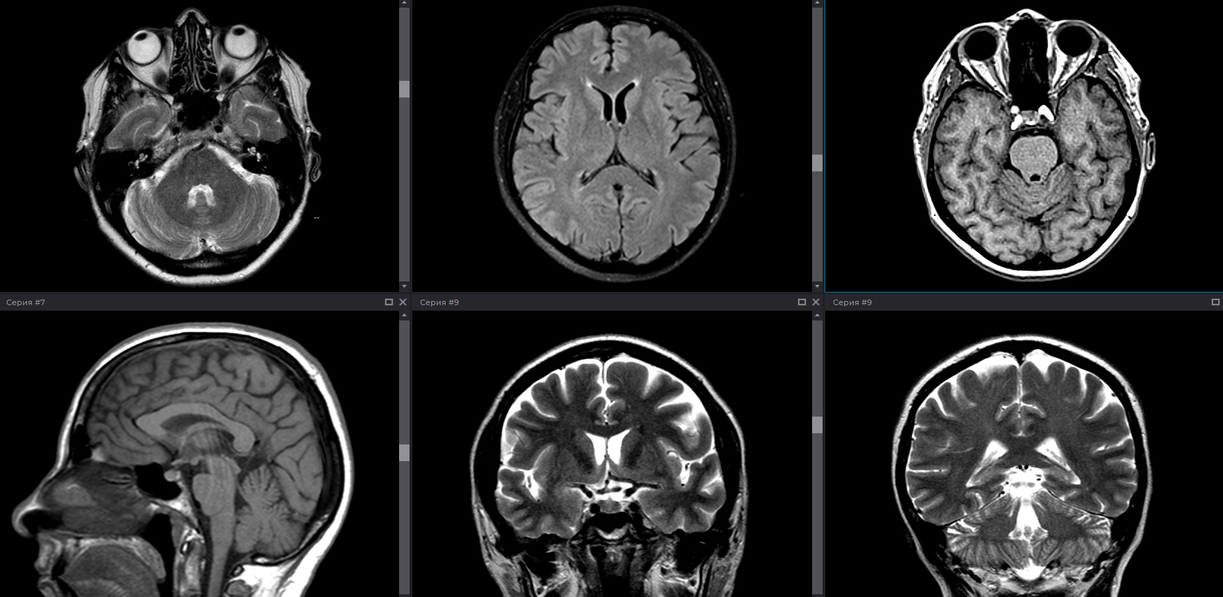
МРТ метод диагностики для выявления заболевания с высокой точностью
КТ обследование, которое проводится с помощью рентгеновских лучей
Более 1500 направлений лабораторных исследований
Приём ведут терапевты и неврологи высшей категории
Акции и специальные предложения
Услуги
МРТ исследование головного мозга
МРТ исследование сосудов головного мозга
МРТ исследование позвоночника
МРТ исследование органов брюшной полости
МРТ исследование органов малого таза
МРТ исследование суставов
МРТ исследование сердца
МРТ исследование мягких тканей
МРТ исследование молочных желез
Внутривенное контрастирование
Дополнительные услуги
Подробнее о враче
О враче:
Наши эксперты
Наши эксперты

Врач - невролог

Врач - невролог

Врач-рентгенолог

Врач - рентгенолог

Врач - рентгенолог

Врач - рентгенолог

Врач - терапевт

Врач-рентгенолог

Врач-рентгенолог

Врач-рентгенолог

Врач-рентгенолог

Врач - невролог
Блог
Вопросы и ответы

Чем отличается КТ от МРТ?
В какой одежде лучше всего проходить МРТ?
Вредно ли проходить МРТ?
Какая разница между рентгеновской пленкой и диском?
Делают ли МРТ ребенку под наркозом?
Для чего необходимо вводить контрастное усиление?
Как часто можно делать КТ?
Что делать, если в организме есть металлические конструкции, но нет документов?
Партнеры














Документы
Документы
Наши контакты
Адрес
г. Краснодар, ул. Коммунаров 278 Г
Часы работы
Ежедневно: 7.00-23.00


